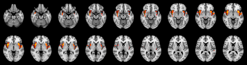
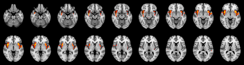
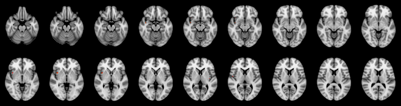
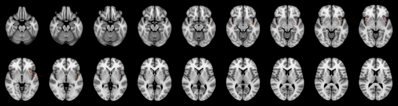
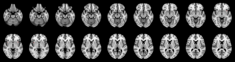
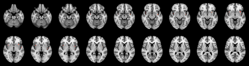
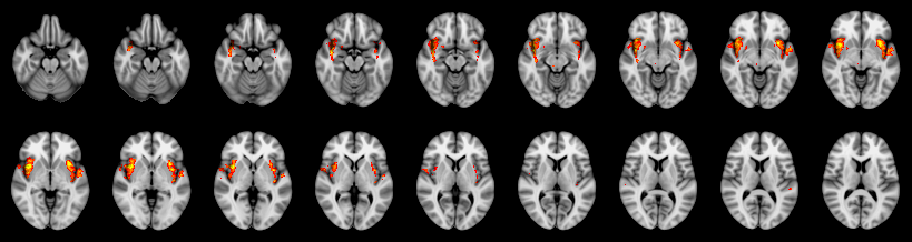
Pain study, Voxel-level, Corrected


Not combined

Face:

Hand:

Foot:


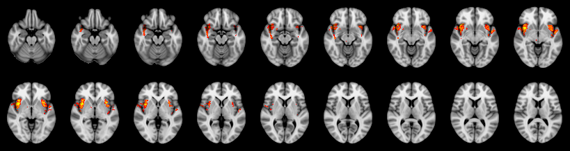
Combined

Tippett:

Fisher:

Stouffer:

Edgington:

Mudholkar–George:

Friston:

IUT/Conjunction/Nichols:

Hotelling T2: